Nesta quinta-feira (16), o setor de odontologia legal do Instituto Médico Legal Estácio de Lima (IML) identificou que o corpo encontrado no início de janeiro em um apartamento no bairro de Petrópolis, parte alta de Maceió, era do enfermeiro Artur Santos de Oliveira, de 30 anos, natural de Mato Grosso.
A assessoria de Comunicação do IML afirmou que a partir de documentos solicitados pelo IML e enviados pela então suposta família da vítima, a odontolegista Isabella Lemos confrontou as imagens de antes e depois da morte, e identificou convergências quantitativas, qualitativas e morfológicas suficientes para a identificação do cadáver.
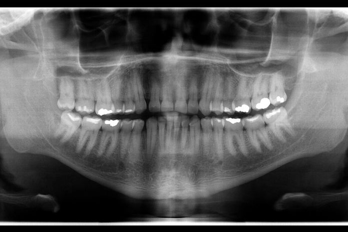
Segundo Isabella Lemos, exames odontológicos realizados durante a vida podem ser essenciais para identificação de cadáveres que chegam ao IML. Os exames disponibilizados pela família continham fotografias extra-orais, intra-orais, radiografia panorâmica e cefalometria, que, de acordo com a perita odontolegista, foram importantes para a identificação da vítima.
“Através desse caso, deu para ressaltar a importância da contribuição dos cirurgiões dentistas com as perícias de identificação odontolegal, já que, por se tratarem de metodologias comparativas, é fundamental que os dentistas que atuam no atendimento preencham adequadamente o prontuário odontológico e que guardem também toda a documentação, como por exemplo os exames radiológicos, modelos em gesso, fotografias do paciente”, aponta Isabella.
Através da identificação oficial, foi possível dar celeridade ao processo de liberação do cadáver, garantindo um atendimento humanizado e preservando o direito aos familiares de realizar as últimas homenagens de despedida.
*Com assessoria










