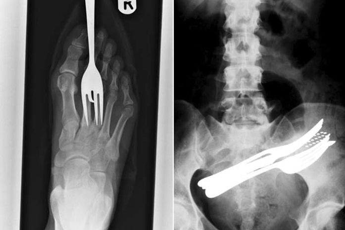
No início do mês, um prisioneiro do Sri Lanka que tentou esconder seu telefone celular durante uma inspeção em sua cela foi descoberto quando os guardas ouviram toques vindos de suas nádegas. O condenado de 58 anos precisou ser internado no hospital, onde os médicos retiraram o aparelho de seu reto. Abaixo, o G1 reúne esse e outros raios-X bizarros.

Bizarro









